Cabinet dentaire du Dr Olivier YLLOUZ
Chirurgien-Dentiste à Boulogne-Billancourt
Cabinet dentaire du Dr Olivier YLLOUZ

127 avenue Jean-Baptiste Clément
92100 Boulogne-Billancourt

Chirurgien-Dentiste à Boulogne-Billancourt

+33 1 46 03 48 21    +33 1 46 03 48 21

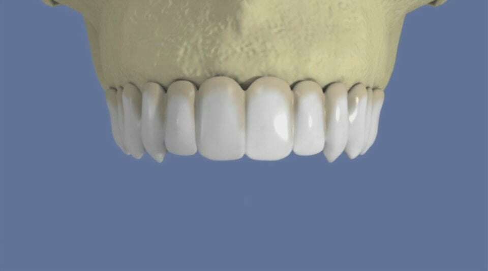
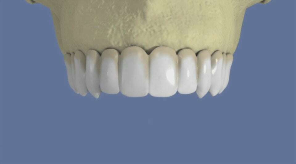
Maxillaire : bridge vissé sans fausse gencive


video-play-icon

Création par Webdentiste

Connexion